見た目と機能性を重視した当院の審美歯科

「前歯の着色が気になるので目立たないようにしたい」「奥歯の銀歯を白い歯に変えたい」など、口元のお悩みはありませんか?そうした悩みにお応えするのが審美歯科です。

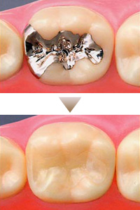
審美歯科とは、白い詰め物やかぶせ物を使って白く美しい歯に仕上げる治療です。セラミックを使用した技工物は、製作する技工士の技術力によって差が出ることがあり、完成度が低いと口元の見た目やバランスが崩れ、耐久性にも影響してきます。当院では完成度の高い詰め物やかぶせ物を製作し、提供しています。

腕のいい技工士が作るので美しく長持ちします 腕のいい技工士が作るので美しく長持ちします

詰め物やかぶせ物の素材にはセラミックやジルコニアなど様々ありますが、それ以上に重要なのが、作り手となる技工士の技術力です。技工士であれば誰でも白い歯が作れますが、より精度の高い詰め物やかぶせ物に仕上げるには、技工士の腕とセンスが問われます。当院は腕のいい技工所と提携していますので、色、形、装着感、耐久性など、全てにおいて完成度が違います。そのため保険適用の治療に比べて高くつきますが、価格以上の仕上りにご満足していただける技工物を提供しています。

当院の審美歯科のこだわり

全ての治療に通じることですが、当院では患者さんに喜んでいただける治療を提供することをポリシーとしていますので、歯科医師としてのプライドを持ち、一つひとつに責任をもって診療に取り組んでいます。精密な審美歯科へのこだわりも、こうした姿勢の現れです。当院の審美歯科の質の高さは、技術力の高い技工所、歯科医師の技術力と配慮、双方の連携が作り出したものです。そのいくつかをご紹介します。

●緻密な型取り

型取りをするとき、歯と歯ぐきの間に細い糸を入れて、歯肉を押し広げることがあります。こうすることで細部までしっかり出て余分な歯肉が被らなくなり、正確な歯型を取ることができます。

●写真を添付して口元と調和した自然な白さに仕上げる

かぶせ物の色を決める時のポイントは、全体の歯の色とのバランスです。当院では、お口全体の写真を添えて技工士にオーダーしていますので、患者さんのお口の情報が正確に伝わり、口元全体にマッチした自然な美しさに仕上げることができます。

●仮歯を作ってから完成形を作る

かぶせ物を入れた時に、歯ぐきの状態が自然に見えると口元全体が美しくなります。そこで完成形の技工物を作る前に仮歯を作って装着し、一週間ほど過ごしていただきます。それで問題がなければ仮歯を基に完成形を作るので、歯ぐきにしっくり馴染む形に仕上がります。

当院の審美歯科メニュー

当院では、イーマックス、ジルコニア、ハイトランスジルコニアの3種類の素材を扱っています。どの素材も金属アレルギーの心配がないメタルフリー素材なので身体に優しく、耐久性にも優れていますので、長く安心してお使いいただけます。

使用する素材を決める時は、歯科医師が患者さんのお口の状態に合った最適な素材を選んでご提案いたします。どの素材も完成度が高く、色、形、装着感など、いずれも満足できる仕上りです。なお、当院ではどの素材を選んでも一律料金で提供しています。


オールセラミックの中でも天然歯に近い強度を持つ、歯に優しい素材です。ジルコニアよりもさらに透明感に優れているので、美しさが重視される前歯の治療に適しています。色調が豊富にあり、クラウン(かぶせ物)、インレー(詰め物)、ラミネートべニアまで幅広い治療が可能です。歯の土台にグラスファイバー製のファイバーコアを使うことで、より透明度が増します。


ジルコニアの外側にセラミックを覆った素材です。白い金属ともいわれ、人工ダイアモンドと匹敵する強度があります。自然な美しさが再現でき、また強度が高いので噛む時の力が強い奥歯での使用に適しています。汚れも付着しにくいので、結果的に歯を長持ちさせることができます。


ハイトランスジルコニアはジルコニアをさらに進化させた審美性の高い素材で、ジルコニアとイーマックスの中間にある素材です。今までのジルコニアでは不可能だった透過率50%を実現。より天然歯に近い透明感があります。また隣接する歯とも馴染みやすく、自然に仕上がります。


なるべく歯を削らずに美しく仕上げる「ダイレクトボンディング」

 

再治療や小さなむし歯の治療をするとき、多くの方が「なるべく歯を削らず、できるだけ早く治療を終わらせたい」と希望されると思います。小さなむし歯や銀歯の取り換えであれば、ダイレクトボンディングでほとんど削らずに白い歯にすることができます。ダイレクトボンディングとは、特殊なプラスチック樹脂を歯に直接盛り付け、歯の形を修復する治療法です。インレー(詰め物)に比べると削る量が少なく、短期間で治療が終わります。天然歯のような自然な白さと形に仕上がり、治療跡もほとんど目立ちません。削る量が少ないので歯に優しく、何度も治療に通う必要もないので人気の治療です。

ダイレクトボンディングを行う条件ダイレクトボンディングを行う条件

むし歯を再治療する場合、詰め物を取り外して中の状態を確認しないとダイレクトボンディングが適応可能かどうか判断できません。当院では治療を始める前に状態によって治療方法が変わることをきちんと説明しています。実際に確認して問題なければダイレクトボンディングをご提案しますが、状態が悪くて適応が難しいと診断した場合は白い詰め物やかぶせ物による治療をご提案します。
※ダイレクトボンディングは自費治療になるため、保険が適用されません。

ダイレクトボンディングのメリットダイレクトボンディングのメリット

  • 削る量が少なくて済むので歯が長持ちする
  • 天然歯のように自然で美しい白い歯に仕上がる
  • 型取りや技工物製作の必要がなく、何度も治療に通わなくて済む

こんな方はダイレクトボンディングに適していますこんな方はダイレクトボンディングに適しています

  • 小さなむし歯でなるべく歯を削らずにきれいに治したい方
  • 以前治療したプラスチックや銀歯の詰め物を白い歯に変えたい方
  • 前歯が少し欠けたり、歯と歯の間にわずかな隙間がある方
  • 忙しく何度も通えないので、早く治療を終わらせたい方・